Maro Medical
Prepara tu rostro para estas fechas especiales
El Hifu facial es el único sistema que cuenta con la capacidad de tratar de forma efectiva la piel flácida y los signos de envejecimiento sin que se recurra a un tratamiento invasivo o a una cirugía. Estas fechas todas queremos lucir hermosas y que mej...
Sonrisas transformadas : El Arte de las Carillas de Resina
Las sonrisas son una poderosa herramienta de comunicación y autoconfianza. En la búsqueda de una sonrisa perfecta, las carillas de resina se han convertido en una solución popular. Estas delgadas láminas de material compuesto ofrecen una versatilidad exce...
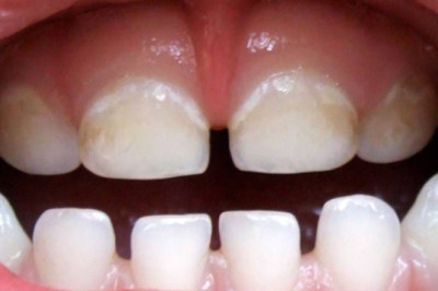
Diastemas Dentales
Los diastemas son los espacios que separa dos dientes adyacentes, es decir, cuando dos dientes no contactan entre sí. También, son comúnmente conocidos como los “espacios que quedan entre diente y diente”.
Análisis Estético del Rostro
Exploración se utiliza como herramienta para establecer la correcta planificación del tratamiento, logrando así los mejores resultados a nivel de la sonrisa, pero también a nivel facial. Por tanto, es un examen y valoración de la forma de la cara, de los...
Plasma rico en plaquetas y células madre
Con el paso de los años la piel sufre varias alteraciones, entre ellas la deshidratación que ocasiona las arrugas y pérdida de la lozanía en la piel. El plasma rico en plaquetas es un tratamiento muy seguro, rápido y eficiente donde se toma una muestra d...
Altra Medic presenta Cita con el Dr. Vargas
La ciencia y la perfección se unen en manos del profesional Dr. German Vargas uno de los mejores médico y cirujano plástico del mundo quien atiende en Altra Medic Hospital, Boutique y Galería de Arte especializado en el cuerpo humano en toda su expresión.
Quieres diferenciarte de los demás y ser único (A)
El perfilado facial, también conocido como contorno facial, implica reducir o aumentar los volúmenes en algunas áreas del rostro. Esto se hace de tal manera que se puede lograr una mejora de todo el rostro.
BELLEZA, SALUD Y BIENESTAR
En todo el mundo, las personas viven más tiempo que antes. Hoy la mayor parte de la población tiene una esperanza de vida igual o superior a los 60 años. Desde un punto de vista biológico, el envejecimiento es el resultado de la acumulación de una gran va...
¿Qué es Medicina Regenerativa?
Son procesos y estrategias utilizadas para restaurar la funcionalidad de una estructura completa o proceso metabólico que no se obtienen solamente con el proceso de reparación natural del cuerpo.
¿Cuáles son los procesos degenerativos del cuerpo?
Los órganos y tejidos son susceptibles a lesiones por enfermedad, trauma defectos congénitos y el paso del tiempo. Una de las principales características del envejecimiento es la disminución del vigor regenerativa de muchos órganos y tejidos somáticos.
Conoce las instalaciones de GIBA
GIBA es una clínica de medicina estética y anti aging, en la cual se brinda un tratamiento integral. Conoce más acerca de nuestra clínica en el siguiente video.
Tumores del Cuero Cabelludo
Los tumores de cuero cabelludo comprenden todas aquellas lesiones que anatómicamente se localizan; entre la protuberancia occipital externa y el margen supraorbital, se caracterizan por su amplio y heterogéneo espectro clínico las dos formas que afectan a...
Tratamiento de Rehabilitación de la piel
El tratamiento se basa en una secuencia de tres meses. En los cuáles se hace una terapia de rehabilitación de la piel. Para tener más información te dejamos el siguiente video.
Prótesis Fija
La odontología restauradora ha experimentado avances significativos en la últimas décadas y uno de los pilares fundamentales de esa evolución ha sido el desarrollo de prótesis fija.
Rehabilitación de la piel
La piel es el órgano más grande del cuerpo humano con aproximadamente dos metros cuadrados de extensión, actúa como barrera protectora que aísla nuestro cuerpo del medio que nos rodea protegiéndolo y contribuyendo a mantener sus estructuras íntegras, al m...
El sabor y significado: El origen de la frase "De un buen diente"
La lengua española es un tesoro de expresiones idiomáticas que revelan una riqueza cultural única.





